Nejlepší a nejusměvavější nemocnice roku 2016 je SurGal Clinic :-)
Vážení klienti, chtěli bychom tímto upřímně poděkovat všem hlasujícím v projektu Nemocnice roku 2016. Naše nemocnice byla vyhodnocena jako „Nejlepší a nejbezpečnější nemocnice České republiky 2016“ v kategorii hospitalizovaní pacienti v rámci projektu „Nemocnice ČR 2016“. Současně jsme se umístili na 1. místě jako „Nejusměvavější nemocnice ČR“ v kategorii nefakultních nemocnic.
Tímto jsme obhájili stejná umístění jako v roce 2015, což náš těší ještě o to více.
Tým SurGal Clinic
30. 11. 2016

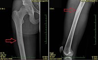
Obr. 1 Osteoidní osteom v rentgenovém obraze

Obr. 2 Osteoidní osteom v CT obraze

Obr. 3 Radiofrekvenční ablace osteoidního osteomu na CT zákrokovém sále

Obr. 4 Kontrola po roce, patrná je sklerotizace nidu osteoidního osteomu

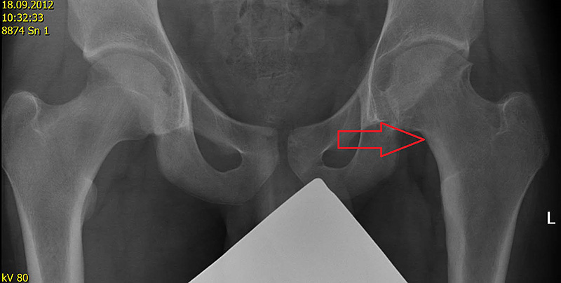
Obr. 5. Nidus osteoidního osteomu v krčku levé kyčle na RTG snímku

Obr. 6. RFA osteoidního osteomu levé kyčle a CT kontrola po roce