Endoprotéza kolene
Ortopedie
Endoprotéza kolenního kloubu
Anatomie
Kolenní kloub spojuje dvě nejdelší kosti lidského těla, kost stehenní a kost holenní. Při pohybu na něj působí enormní pákové síly. Stabilita kolena je zajišťována složitým vazivovým aparátem. Tento je poměrně zranitelný. V důsledku četných zranění a výraznému funkčnímu zatížení nacházíme na kolenním kloubu často známky degenerativního postižení.
Ideální zatížení kolenního kloubu probíhá v mechanické ose končetiny, tedy na přímé spojnici hlavice stehenní kosti, středu kolenního kloubu a středu hlezenního kloubu.
Artróza koleního kloubu (gonartróza)
Jedná se o degenerativní nezánětlivé postižení hyalinní chrupavky kolenního kloubu projevující se jejím snížením, tvorbou kloubních osteofytů, sklerotizací kosti a změnami měkkých tkání. Klinicky se projevuje bolestmi při pohybu, změnou osy končetiny, ztuhlostí kloubů. Typickou je startovací bolest na počátku pohybu a v ranních hodinách.
Primární koxartróza - vzniká na podkladě metabolické poruchy chrupavky
Sekundární koxartróza - vyvolávající příčina artrózy není primárně na metabolickém podkladě.
Příčinou mohou být:
- různá poranění (chrupavky, vazivového aparátu)
- artritidy (stavy po zánětech kloubů)
- vrozené a vývojové vady
- osové deformit
Na rentgenovém snímku se gonartróza projevuje postupným zužováním kloubní štěrbiny, nárustem okrajových osteofytů, subchondrální sklerózou, někdy až tvorbou subchondrálních cyst s možností vzniku nekrózy kosti. Artrózu dělíme dle RTG nálezu na čtyři stádia.
Operační léčba
Debridement artrotického kolena
V časnějších stádiích artrózy kolena bývá vhodná artroskopická revize kloubu, při které je možné ošetřit degenerativní praskliny menisků, zahladit olupující se chrupavku, odstranit volná tělesa, případně provést oživení lokálních defektů chrupavky.
Korekční osteotomie
Pokud dochází vlivem obrušování chrupavky ke změně osy dolní končetiny, je v indikovaných případech vhodné její úpravou kompenzovat rozložení zátěže na kloubní plochu a tím odlehčit poškozené oblasti chrupavky. Využíváme k tomu korekční osteotomii.
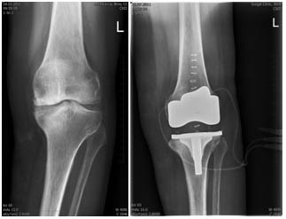
Aloplastika - umělý kloub
Aloplastika kolenního kloubu je náhrada poškozeného kloubu implantátem, kdy nahrazujeme kluznou část stehenní a holenní kosti.
Femorální komponenta – většinou kovová (CrMoCo ocel), fixována kostním cementem
Tibální komponenta – obvykle z titanu, fixována kostním cementem
Tibiální plateau – polyethylenový kluzný povrch mezi femorální a tibiální komponentou
Předoperační příprava
Pacient před aloplastikou kolenního kloubu musí být důkladně předoperačně vyšetřen. Cestou naší Grand Class ambulance provádíme standardní předoperační vyšetření (EKG, laboratorní vyšetření, rentgen srdce a plic), stomatologické vyšetření, gynekologické a urologické vyšetření. V předoperačním období je třeba upravit především medikaci léků, které ovlivňují krevní srážlivost. Pacient je vybaven podpažními berlemi a medikamenty pro prevenci trombembolické nemoci.
Operace
Doba, kterou pacient stráví na operačním sále je cca 120 min. Celým pobytem pacienta provází anesteziolog s anesteziologickou sestrou. Ve většině případů je vhodné aloplastiku kolenního kloubu provádět ve spinální anestezii, tedy ve stavu, kdy je pacient během operace při vědomí. Necitlivá je pouze operovaná končetina. Pro navození příjemné atmosféry jsou pacientům podány uklidňující léky. Samotný operační výkon trvá přibližně 90 min. K náhradě ztráty krve využíváme rekuperace. Krev odsávaná z rány je po úpravě opět navracena do krevního oběhu. Mnohdy tak odpadá nutnost převodů cizí krve či autotransfuzí.
Implantaci TEP kolenního kloubu je možné na SurGal Clinic provést pomocí metody Visionaire
(viz informační brožura). Naše pracoviště je tak jedno ze tří center v České republice.
Pooperační doléčení
Z operačního sálu pacient odjíždí na pooperační oddělení (JIP), kde je jeho stav monitorován cca 24 hod. Další léčba již většinou probíhá na standardních a nadstandardních lůžcích našeho zařízení. V celém pooperačním průběhu pacienta navštěvuje zkušený fyzioterapeut, který vede rehabilitaci. Během jednoho týdne bývají pacienti natolik mobilní a soběstační, že mohou být přeloženi na jiné pracoviště. Odstranění stehů rány doporučujeme 12. – 14. pooperační den. Pacienti dochází na naši ambulanci k pravidelným kontrolám v 1., 3., 6., 12. měsíci po operaci. V období jednoho roku po implantaci TEP mají možnost doléčení v lázeňském zařízení. Následně jsou pacienti pravidelně sledováni v ročním intervalu.
Komplikace a rizika
Komplikace mohou nastat po každé operaci, nicméně se je daří minimalizovat moderními technikami, materiály a vysokou specializací lékařů.
Nejčastější komplikací aloplastiky kolena je sekundární hojení a déle trvající serózní prosak rány. Ve většině případů se tento stav daří zvládnout pravidelnými převazy rány a podáváním antibiotik. Dochází –li k vzestupu zánětlivých parametrů, kultivováno infekční agens, bývá někdy nutné přistoupit k revizní operaci kloubu.



