Ozonterapie, periradikulární terapie
Zobrazovací metody
Ozonterapie, periradikulární terapie (cílené obstřiky nervového kořene při bolestech zad)
Při výhřezu meziobratlové ploténky dochází k útlaku a dráždění nervového kořene, což se projeví bolestí zad vystřelující do oblasti inervované postiženým nervem doprovázené možnými poruchami čití a pohybu. V místě útlaku se změní prokrvení a objeví se otok měkkých tkání. Podrážděním nervu dojde k reflexnímu, křečovitému stažení zádového svalstva, které se snaží postižený úsek stabilizovat, často však způsobí další stlačení nervového kořene.
Celý proces se dá utlumit v první fázi léčivy (antiflogistika, spasmolytika, analgetika) a případně doplňkovými neinvazivními procedurami, které vedou k utlumení zánětlivého procesu a zlepšení lokálního prokrvení (masáže, cílená rehabilitace, magnetoterapie, akupunktura, akupresura, ...). V asi polovině případů je tato neinvazivní léčba úspěšná a dojde k samovolnému zlepšení v podobě subjektivního zlepšení obtíží, tak i po čase k alespoň částečnému navrácení meziobratlové ploténky k původnímu stavu. Proces návratu trvá řádově měsíce.
V případě, že konzervativní postup nemá dostatečný efekt, je na místě zvážit minimálně invazivní metody, kdy se léčivo aplikuje přesně k postiženému místu do epidurálního prostoru v těsné blízkosti nervového kořene. Klasicky se tak děje aplikací steroidních protizánětlivých léčiv typu kortikoidů ve směsi s analgetikem (tzv. periradikulární terapie nebo periradikulární infiltrace- více viz http://www.openradiology.org/survey/periradicular%20infiltration/index_html). Zdá se, že tyto léčivé směsi může nově s podobnými účinky spolehlivě nahradit aplikace ozonu za stejných podmínek. Na našem pracovišti jsme proto téměř nahradili injekce kortikoidy aplikací ozonu.
Pokud ani tento přístup nemá dostatečný účinek, pak zřejmě bude nutné operační neurochirurgické ošetření. V pokročilých případech se pak podle uvážení ošetřujícího lékaře (neurolog, ortoped, neurochirurg) výše uvedené mírnější postupy přeskakují a přikročí se k operaci ihned.
Úspěšnost neurochirurgické operace je asi 95% ve smyslu rychlé úlevy od obtíží, dlouhodobá úspěšnost měřená po roce je kolem 80%. Ve 2-10% případů dojde navzdory vší péči ke zhoršení bolestí (tzv. failed back surgery syndrom, FBSS).
Princip účinku
Ozon je silné oxidační činidlo, které v okamžiku, kdy se dostane do vodného prostředí se chemicky přemění na peroxidy a dojde k vyplavení volných hydroxylových radikálů. V tuku pak vznikají z nenasycených mastných kyselin reaktivní ozonidy. Biologický účinek pak záleží na koncentraci plynu. V koncentracích kolem 5-30 µl/ml vedou oxidační reakce k útlumu lokální zánětlivé situace, ovlivňují vnímání bolesti (analgetické účinky) a pozitivně ovlivní prokrvení v místě. V důsledku pak dochází k omezení zánětlivého prostředí a k ústupu otoku nervového kořene. Štěpením proteoglykanů rozpouštějí produkty oxidační kaskády fragmenty vyhřezlého centra ploténky a částečně omezují jizevnatou tkáň, která se v místě vytvořila v rámci procesu po výhřezu ploténky.
Indikace
Pacienti s bolestmi zad a krční páteře vystřelující nejčastěji do kolena, stehna, kyčle nebo ramene na základě komprese nervového kořene postiženou meziobratlovou ploténkou.
Postdiskektomický syndrom, failed back surgery syndrom.
Zásadně důležitá je přesná diagnóza, proto před zákrokem požadujeme předchozí vyšetření na CT nebo magnetické rezonanci (MR), ne starší 3 měsíců.
Výkon
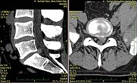
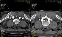
Zákrok se provádí pod navigací CT přístrojem za sterilních podmínek.
Bederní páteř:
- Pacient leží na břiše. Po základním vyšetření na CT a přípravě operačního pole lékař provede lokální anestezii kůže a podkoží a zavede tenkou atraumatickou spinální jehlu přesně k postiženému úseku páteře do epidurálního prostoru. Optimální cestu a umístění hrotu jehly určí lékař, cílová oblast je velmi malá a je tak pravděpodobné, že ověřování na CT bude opakované. Po ověření správné pozice jehly lékař aplikuje směs buď kyslíku a ozonu nebo anestetika, steroidního protizánětlivého léčiva a kontrastní látky, a provede se ověření distribuce léčiva.
Sakroiliakální (SI) klouby a facety meziobratlových kloubů:
- Z pohledu pacienta se provádí obdobně jako obstřiky bederní páteře.
Komplikace
Komplikace bývají u ozonu extrémně vzácné a při pečlivé operační technice je možné se jim ve velké většině vyhnout. Nicméně ke komplikacím uváděným v literatuře patří: epidurální hematom, abscesy. U krční páteře je možné poškození vertebrální tepny nebo komplikace po intraarteriální aplikaci léčiva. Oproti kortikoidům má ozon minimální vedlejší účinky a jeho výsledný efekt měřený po roce je dlouhodobější.
Režim po zákroku, opakování intervence
Po výkonu je pacient sledován na oddělení kliniky dle potřeby, obvykle cca 1 hodinu leží v pozici určené lékařem, aby došlo k optimální distribuci léčiva v cílovém prostoru. Odpoledne po výkonu následuje kontrola operatérem. Není-li komplikací, je pacient obvykle propuštěn následující den ráno.
Pacient je obvykle pozván na kontrolu týden po zákroku. Pokud je efekt dostatečný, na našem pracovišti obvykle provádíme sérii celkem tří ošetření s odstupem asi 3-4 týdnů. Aplikace ozonu nebývá překážkou k další aplikaci ozonu, kortikoidu, analgetiky nebo případné operaci. Na jiných pracovištích se zvolené schéma může lišit.
Výsledky
Úspěšnost výkonu ve smyslu utlumení bolestí se udává v cca 80-85 % případů. Zřetelně lepších výsledků dosahují pacienti se stranovými (foraminálními, laterálními) výhřezy plotének, pacienti v akutní fázi, bez předchozích operací, se spíše iritačními příznaky, bez motorického postižení. Horší výsledky jsou u pacientů s chronickým a víceetážovým postižením, po opakovaných operacích v minulosti, FBSS. Úspěšnost je do značné míry určována správnou indikací výkonu, za kterou je zodpovědný indikující lékař, tj. většinou neurolog, neurochirurg, ortoped, anesteziolog nebo rehabilitační lékař.
Výhody ozonu oproti kortikoidům
- lepší distribuce v cílovém prostoru
- opakovatelnost
- lze aplikovat i do ploténky a částečně nahradit obdobné zákroky jako je laserová nukleotomie, radiofrekvenční ablace nucleus pulposus, chemická nukleolýza
- minimum komplikací
- srovnatelná nebo lepší účinnost
- celkové účinky (i když v malém rozsahu) pozitivní ve smyslu celkové aktivace organismu a aktivace přirozených redukčních mechanismů (tzv. ozonový paradox)
Příklady
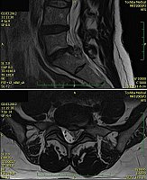
1. Žena, 48 let. Na MR patrná 8mm velká paramediální hernie L5/S1 vlevo s extruzí materiálu ploténky do epidurálního prostoru a útlakem kořenů L5 a S1 vlevo. Pacientce byla doporučena operace, kterou odmítla a zvolila alternativní postup s aplikací ozonu. Viz obr. 6a
Na kontrolním MR po 1 měsíci (po 2 aplikacích ozonu) periradikulárně je viditelné vymizení fragmentů v epidurálním prostoru a částečná retrakce meziobratlové ploténky. Subjektivně výrazná úleva, po 4 týdnech návrat do práce. Viz obr. 6b
2. Muž, 41 let. Na MR objemná hernie L4/5 velikosti 11mm téměř vyplňující páteřní kanál, útlak nervových kořenů. Opakovaně doporučována operace, kterou pacient odmítl. Jako alternativu zvolil ozonoterapii s aplikací ozonu do disku L4/5 a periradikulárně. Byly aplikovány celkem 3 dávky ozonu. Viz obr.7a
Na kontrolním MR po 6 měsících je patrná výrazná redukce velikosti hernie, vymizely fragmenty, uvolnil se páteřní kanál a do značné míry i nervové kořeny. Subjektivně výrazná úleva téměř k normálu. Viz obr. 7b
Literatura
- Slipman CW, Shin CH, Patel RK, et al. (Sep 2002). "Etiologies of failed back surgery syndrome". Pain Med 3 (3): 200–14; discussion 214–7
- Bocci V, Zanardi I, Michaeli D, Travagli V (Oct 2010): Mechanism of action and chemical-biological interactions between ozone and body compartments: A critical appraisal of the different administration routes. Int J of Ozone Therapy 9:63-77
prim. MUDr. Jan Křístek, PhD.








